doctor holding brain scan
doctor holding brain scan
doctor holding brain scan

Proton Therapy for Brain Tumors

Traditional radiation therapy that uses photon beams is effective for treating many cancers. But for people with tumors in the brain, proton therapy may be a better and safer option.

What is proton therapy for brain tumors?

Proton therapy is a high-energy beam that precisely targets tumor cells in the brain to destroy their DNA. Damaging the tumor’s DNA makes it difficult or impossible for the cells to multiply, which stops them from growing and can eventually shrink them.

Proton therapy uses proton particles, which can be set to travel a specific distance into the brain tumor before they stop. This makes it possible for doctors to target just the tumor while minimizing radiation dose to sensitive brain tissues and structures around it. The precision of proton therapy helps reduce potential damage to the brain caused by treatment, as well as helping reduce the risk of new cancers developing after radiation.

Besides brain tumors, proton therapy can also effectively treat other areas of the body and tumors in the spinal cord, which also require precise targeting due to their location.

Proton Versus Photon Radiation for Brain Tumors 

Another common type of radiation therapy used primarily to treat small brain tumors involves very precise delivery of small “pencil beams” of photons in the form of gamma rays. These treatments are called stereotactic radiosurgery.

Photon beams enter the brain and go through the tumor and beyond, delivering radiation throughout their travel path. Protons are different in the way they deliver the most radiation at the end of their path, so tissues beyond the tumor don’t get affected.

Both proton and photon radiation can effectively target tumor cells and treat certain brain tumors.

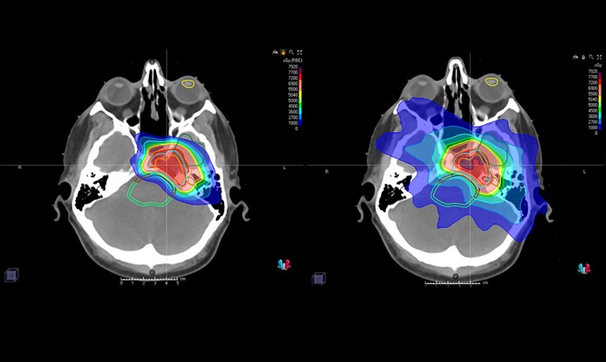
proton therapy brain scan

Patient brain scans show how proton therapy (left) targets brain tumors with minimal radiation going to surrounding tissue and structures, whereas traditional photon radiation (right) can damage surrounding brain tissues and structures.

What types of brain tumors can be treated with proton therapy?

Proton therapy can be used to treat benign and cancerous brain and spinal cord tumors, including:

When it comes to metastatic brain cancer, it is challenging to treat cancer that spreads to the lining of the brain. If cancer cells are in the brain lining, they could enter cerebrospinal fluid, which moves throughout the spinal canal. This means the treatment needs to include radiation to the brain and the entire spine, which can be overly toxic if photon therapy is used.

Proton radiation allows experts to treat tumors in the brain and the spine more safely in a select group of patients who do not have cancer in other areas of the body. Research is ongoing to see if stereotactic techniques using proton therapy are safe and effective for treating these types of metastatic tumors.

Who may need proton therapy for brain tumors?

Both proton and photon therapy can effectively treat certain brain tumors. The approach that offers the best results for each patient depends on the type, location, grade and stage of brain tumor, and many other factors. Your radiation oncologist and the rest of your care team will help you consider pros and cons of each treatment for your unique situation.

In general, proton therapy can be beneficial for:

  • Brain tumors near areas that control vision, hearing or other important brain functions
  • Brain tumors in areas of the brain that are hard to reach with surgery
  • People who have had brain radiation before or may need radiation in the future
  • Brain tumors that came back after treatment
  • Brain tumors that are irregularly shaped, making it difficult to target them with photon radiation

Proton therapy may not be appropriate for some people, such as those who have had titanium mesh or another material placed in the skull during cranioplasty surgery. Mesh, plates and other skull implants can interfere with the delivery of proton therapy. Your doctor may recommend a mix of proton therapy and photon radiation in these situations.

Cost and insurance coverage are also major considerations. Proton therapy for brain tumors is more expensive than other radiation treatments due to the high cost of the equipment. Proton treatment centers often have staff who can help you work with your insurance provider.

Proton Therapy for Childhood Brain Tumors

One area where proton therapy can be especially useful is treating pediatric (childhood) cancers, especially brain tumors.

Proton therapy helps reduce radiation exposure to the developing brain. Less radiation to the brain means lower risk of neurological problems, such as strokes and cognitive issues, as well as lower risk of developing cancers later in life.

What happens during proton therapy brain tumor treatment?

Before your treatment can begin, your radiation oncology team needs to plan the exact radiation dose, duration and position of the proton beam. You will come to the treatment center for a simulation appointment, during which you will lie on the treatment table while the care team:

  • Takes images of your brain
  • Uses computer software to map the location of the tumor and surrounding areas
  • Positions you for treatment
  • Marks on your head where the beam should enter
  • Fits you for a mesh mask to keep your head still during treatment

It can take a few weeks after your simulation appointment to complete all calculations and quality assurance tests. On the day of your first treatment, you will lie on the treatment table the same way you did during simulation. The care team will take images of the brain to ensure you are in the right position, and will then leave the room to operate the proton therapy machine.

Proton therapy treatment for brain tumors usually lasts every weekday for several weeks. Treatment takes about 15 minutes, and the whole visit to the treatment center takes about an hour.

Side Effects of Proton Therapy for Brain Tumors

The side effects of proton therapy are very similar to those of traditional photon radiation. People who get proton therapy for brain tumors might experience:

  • Fatigue
  • Headaches
  • Nausea
  • Hair loss and/or skin irritation on the skull (similar to a sunburn)
  • Other symptoms depending on which part of the brain was treated

Request an Appointment

Find a Doctor
Find a Doctor